Are you looking to replace all your teeth with a new set of teeth?
We have a number of options and a few offers to help you achieve a new natural smile
Implant Offers - Only this Month
FULL ARCH £9,995
Single Implant £1,495
1. Save £1,306 Implant Now £1,399
2. Consultation & cbct £99
The following dental implants offers are for a limited time only. T&C's apply, for more information please call The Implant Centre in Perth.
Missing or failing all teeth with a new set of teeth
Perhaps you have lost all your teeth long ago and have been too scared to visit a dentist since. Or maybe your missing full set of teeth is a recent occurrence and you’re not sure what to do next. It could be the case that all of your teeth are failing, so they need to be removed.
Whatever your circumstances, missing a full set of teeth is troubling. You will probably have difficulty in eating, chewing and even speaking. You might be experiencing some pain and embarrassment about having no teeth at all.
Do not despair, there are several missing tooth solutions, and we will look at these in detail. Read on to find out how the Dental Implant Centre in Perth can help replace a full set of teeth and help you to regain your smile.
Book A Consultation
Discover the right treatment for you.
Regain your smile & confidence.
*£99 Consultation fee including CBCT
Options for a full set of teeth, Perth
There are 2 main options for patients who want to replace a full jaw with new teeth. Both options require dental implants which act as the new tooth root to replace your missing teeth.
- A removeable denture that is supported by dental implants
In this case the dental implant is inserted into the gum which fuses to the jawbone and keeps it permanently in place. This acts as an anchoring support for the plastic set of teeth or dentures which sit on top.
This option is often chosen by those patients who have previously worn dentures and wish to continue to do so without them becoming loose or uncomfortable to wear.
- Fixed teeth supported by dental implants
In this option, the dental implant is inserted to the jawbone. An abutment then connects the implant with the dental crown which sits on top of the gum and shows as the tooth.
This option is more frequently chosen by younger patients and those patients who do not want to wear a denture.
Dental implants are the only permanent, natural looking solution to replace a full set of teeth. If you are missing all teeth, several implants can be inserted into your jaw, which is then supported by a bridge to replace a full mouth of new teeth. Read on to find out more about these dental implant options.
We know that every patient is unique. Book your free consultation in Perth to discuss which option is right for you to replace a full set of teeth.
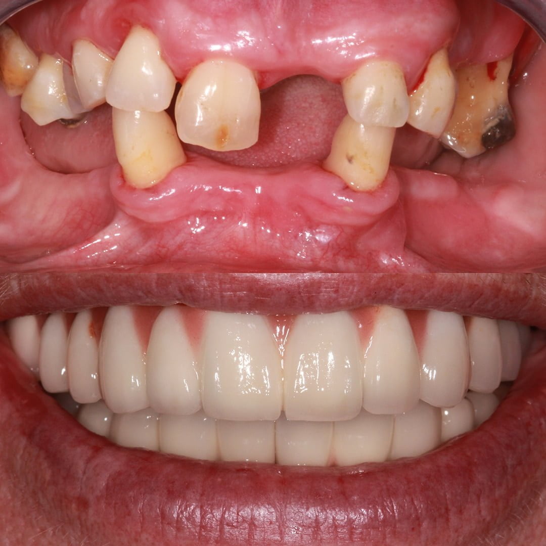
Before and After Dental Implants
Our dentists bring at least 20 years’ experience to our practice, so you know you’ll be in safe hands when you put your trust in The Implant Centre at Perth Dental.
Expect a friendly welcome, state-of-the-art equipment – including intra-oral scanners and 3D radiographs – and treatments with minimal downtime.
The dental implant options for missing all teeth
The i-Smile is a concept invented by leading implantologist at the Dental Implant Centre which aims to reduce the amount of dental appointments and time taken needed to fit dental implants. Dental implants will be completed in a maximum of 7 appointments and surgical times will be a maximum of 2 hours.
We know that every patient is different and therefore every treatment will be unique. As a guide, the i-Smile concept has several service options for those patients looking for a full set of new teeth:
The i-Smile Same Day is the dental implanttreatment most often used by those patients who are missing all teeth. This treatment uses 6 dental implants, all fitted on the same day to the upper or lower jaw, with a temporary bridge also fitted on the same day supporting the new set of teeth. A final bridge your bespoke, permanent teeth will be fitted at a later appointmentonce the gums have healed. This dental implant option is popular with many patients as it means you get new teeth on the same day.
The i-Smile Graft is similar to the i-Smile Same Day option but includes the process of grafting bone from the sinus area in order to support the dental implants. This is process is necessary if your jawbone is too weak to support dental implants.Surgery will be completed to fit your dental implants into the gums on your second appointment and at this stage you will be fitted with a temporary bridge to support your temporary new teeth. Your permanent teeth will be custom made and fitted at a later appointment.
The i-Smile Bespoke is an all-inclusive service which incorporates up to 10 dental implants per jaw and high-end ceramic crown work. The dental implants will be placed into your gums at the second appointment where you will also be fitted with a temporary set of teeth. Your bespoke, permanent teeth will be fitted at a later appointment.
For further discussion about which i-Smile treatment is best for you, book your free consultation.
Dental Implants Treatment Options
Dental Implant center Birmingham
If you’re in need of an implant dentist in Birmingham, call our team to arrange an appointment with the Birmingham Dental Implant team.
Dental implant center Glasgow
If you’re in need of an implant dentist in Glasgow, call our team to arrange an appointment with the Glasgow Dental Implant team.



